Our hygienists are qualified to treat the periodontium of your mouth. The periodontium includes the gums and bone surrounding your teeth.
These important structures help maintain the integrity of the teeth in your jawbone.
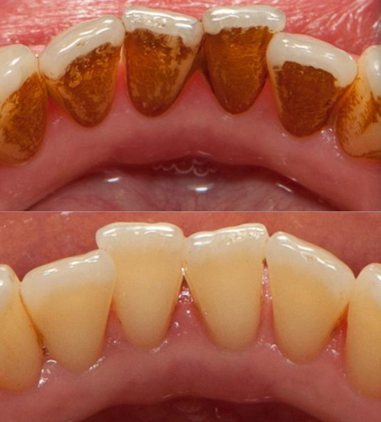
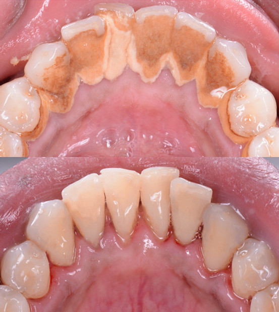
If neglected, gum disease can affect the bone levels around your teeth. Affected patients can develop bleeding gums, bad breath (halitosis), gum abscesses and loosening of teeth over time and in extreme cases teeth may fall out.
Hygienists aim to treat and educate you on how best to maintain your dentition long term, so you can feel confident everyday in your personal oral health.
We are a registered Guided Biofilm Removal Therapy (GBT) dental practice, we provide the latest minimally invasive technologies including AIRFLOW@, PERIOFLOW@ and PIEZON@ PS to provide GUIDED BIOFILM THERAPY in non-surgical periodontal treatment.
All of our hygiene department staff have been professionally trained by the EMS Swiss Dental Academy.

At your hygiene check-up, your hygienist will work with you to identify areas of gum inflammation in your mouth and record a baseline chart around individual teeth. The hygienist will work in closely with your dentist and examine x-rays to assess the bone levels surrounding your teeth This diagnostic information will help treatment plan your periodontal needs and provide a baseline record to measure the results of future treatment.
Your hygienist will use a disclosing pellet that detects early and mature bacterial plaque. They will show you any problematic areas and advise you on correct toothbrush selection, toothbrush techniques and interdental cleaning, with an emphasis on prevention. They can offer a topical anaesthetic gel or local anaesthetic if you have sensitive teeth. Next, your hygienist will remove the biofilm, stains and early calculus using our Airflow technology, this is used supra- and sub-gingivally. The Ultrasonic scaler is used next, this removes remaining calculus. Your hygienist will do a final check ensuring all calculus is fully removed, some hand scaling may be required. They will schedule a recall frequency according to risk assessment. In some cases, the hygienist may suggest a referral to a specialist periodontist for assessment and advanced treatment care. Your hygienist or dentist can arrange specialist referrals when required
AIRFLOW® is a predictable procedure for the removal of biofilm, stains and young calculus from teeth, implants, restorations, orthodontic appliances and from supra and subgingival areas. AIRFLOW® with PLUS powder can be used safely and comfortably on all soft tissues including attached gingiva, mucosa, tongue and palate. AIRFLOW® is the only technology that removes biofilm from inaccessible areas such as deep pits and fissures, interdental spaces, misaligned areas, below crown margins, around peri-implant sulcus, recessions and orthodontic appliances efficiently and in a minimally invasive way. AIRFLOW® preserves the integrity of the natural teeth, implants, restorations and soft tissues.


